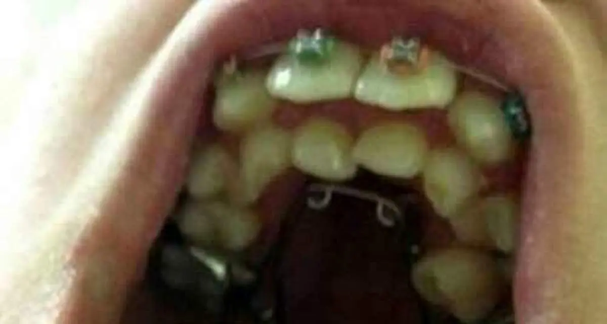
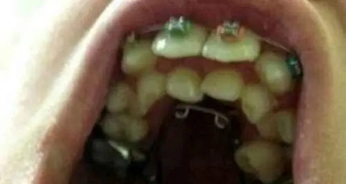
این پسر بیچاره بجای 32 دندان واقعی، 264 دندان در دهانش دارد!+عکسهای ترسناک
در دهان این پسر عجیب 264 دندان رشد کرده است.
به گزارش منیبان؛ هایپر دنتی یعنی دندان های زیاد داشتن، یکی از نادر ترین بیماریهای دهان و دندان در سطح دنیاست.در واقع این مورد خاص در ۰/۱درصد جمعیت جهان دیده شده است. در اکثر مواقع بیمار مبتلا به هایپر دنتی تمام دندان هایش به سطح پوست نمیرسد و معمولا در قسمت فک و یا زیر چانه مخفی می ماند.اما در اتفاقی نادر پسر جوانی اهل کشور هندوستان و مبتلا به این بیماری درخواست کشیدن تمام دندان های اضافه اش را کرد. عمل او ۶ ساعت به طول انجامید و از دهانش ۲۳۲ عدد دندان بیرون کشیده شد.
