خاصیت ضد سرطانی این دمنوش

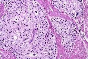
محققان اعلام کردند چای سبز سلول‌های سرطانی دهان را می‌کشد و به سلامت فرد کمک شایانی می‌کند، بدون آنکه به سلول‌های سالم، آسیبی برسد.

خاصیت ضد سرطانی این دمنوش
پیشنهاد ویژه

به گزارش منیبان، پیش‌تر مشخص شده بود که با نوشیدن چای سبز می‌توان وزن را کم کرد، دیابت را کنترل کرد، از قلب محافظت کرد، از شر سیگار رهایی یافت و ایمنی بدن را نیز بالا برد.

بر اساس مطالعه محققان ترکیبی به نام «اپی گالو کاته کین سه گالات» با نام اختصاری‌ ای.جی.سی.جی (EGCG) در چای سبز وجود دارد که آغازگر روندی داخل میتوکندری‌ها برای کشتن سلول‌های سرطانی می‌شود؛ البته بدون آنکه به سلول‌های سالم، صدمه‌ای برسد.

این ماده به عنوان آنتی اکسیدانی شناخته شده بود که در برابر بیماری‌های تخریبی مرتبط با سن می‌ایستند.

محققان بر این باورند که ماده EGCC قادر است یادگیری را افزایش دهد و قدرت حافظه را بهبود بخشد.

‌ماده یاد شده به می‌توکندری سلول‌های سرطان دهان حمله، و روندی را آغاز می‌کند که در ‌‌نهایت به تخریب این سلول‌ها می‌انجامد.

با تداوم این روند مقابله با میتوکندری، مکانیزم محافظت از سلول سرطانی نیز صدمه می‌بیند در حالی که چنین روندی توسط مادهEGCG در سلول‌های طبیعی ایجاد نمی‌شود.

هنگامی که سلول‌ها توانایی تقسیم و رشد عادی خود را از دست می‌‌دهند این موضوع منجر به تسخیر، تخریب و فاسد شدن بافت‌های سالم می‌‌شود و در ‌‌نهایت، سرطان ایجاد خواهد شد.

از اجتماع این سلول‌های سرطانی و تخریب سلول‌های بافت‌های سالم توده ‌ای به نام تومور ایجاد می‌شود. اگر تومور به لایه‌ای محدود ختم شود و به سایر بافت‌ها و ارگان‌ها سرایت نکند تومور خوش ‌خیم (غیرسرطانی‌) است و اگر تومور گسترده شده یا به طور بالقوه قابلیت پخش شدن و احاطه کردن سایر بافت‌ها و ارگان‌ها را داشته باشد بدخیم یا سرطانی نامیده می‌شود.

برخی از شکل‌های سرطان متاستاز (Metastasize) می‌کنند به این معنی که خصوصیت تهاجمی پیدا کرده و به سایر بافت‌های بدن، عمدتا از طریق خون و لنف، سرایت می‌کنند و تومورهای جدیدی را ایجاد می‌کنند.

بیش از یکصد نوع سرطان شناسایی شده است و این سرطان‌ها در هر قسمتی از بدن می‌تواند تظاهر پیدا کنند. مرگ ناشی از سرطان در سال ۲۰۰۵، هفت میلیون و ششصد هزار نفر بوده است که ۱۳ درصد از کل پنجاه و هشت میلیون مرگ در سراسر جهان را به خود اختصاص می‌دهد. بیش از ۷۰ درصد از تمام مرگ‌های ناشی از کانسر در کشورهای کم درآمد یا با در آمد متوسط اتفاق می‌افتد.

 


ت ت
کدخبر: 3252 تاریخ انتشار
در رسانه های دیگر بخوانید
ارسال نظر

پربیننده‌ترین