فرو کردن یک میخ آهنی به داخل سر زن باردار برای به دنیا آوردنِ پسر

همسرش برایش خط و نشان کشیده بود که این بار بچه باید پسر باشد مگرنه اتفاقی که نباید بیفتد، خواهد افتاد. همین تهدیدها زن باردار را مجبور به این کار کرد.

فرو کردن یک میخ آهنی به داخل سر زن باردار برای به دنیا آوردنِ پسر
پیشنهاد ویژه

به گزارش منیبان؛ جنسیت جنین برای هر مادر و پدری مهم است و آنها علاوه بر سلامتی فرزندشان، قطعا به جنسیت جنین هم فکر می کنند. برای تعیین یا حتی انتخاب جنسیت جنین راه و روش های مختلفی وجود دارد که در بخش های قبلی در غالب روش پسر شدن جنین یا روش دختر شدن جنین، کامل در موردش صحبت کرده ایم، اما این بار مسئله فرق میکند و نمیخواهیم در مورد راه و روش ها بگوییم بلکه از یک خرافات عجیب خواهیم گفت که زن باردار پاکستانی را دچار مشکل ساخت.

فرو کردن یک میخ آهنی به داخل سر توسط خانم بارداری برای به دنیا آوردنِ فرزند پسر؛ بله درست متوجه شدید، خرافات مد نظر همین اقدام هولناک و غیرباور بود. اخیراً یک خانم باردار در کشور پاکستان اقدام عجیب و غریبی انجام داد. او بر این عقیده بود که اگر میخ آهنی را داخل جمجمه اش فرو کند، نوزاد پسر به دنیا می آورد.

جالب است بدانید که این زن زمانی که میخ را داخل سرش فرو میکرده کاملاً هوشیار بوده و درد بسیار شدیدی را تحمل می کرده است. بعد از این که این کار را انجام داده بود، پشیمان شده و به خاطر درد زیاد، می خواست که این میخ را بیرون بیاورد اما نتوانست به همین دلیل راهی بیمارستان شد.

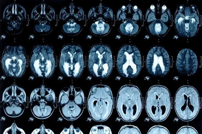
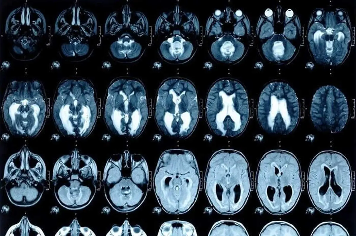
پزشکان پس از اسکن سر زن باردار این موضوع را به تایید رساند که در جمجمه اش میخی فرو رفته؛ سپس این خانم را در بیمارستان بستری کردند. زمانی که علت را از او پرسیدند، گفت که از دیگران شنیده بود که اگر این کار را انجام دهد، حتماً فرزند پسر به دنیا می آورد.

همچنین به پزشکان گفت که شوهرش او را تهدید کرده که اگر دوباره فرزند دختر به دنیا بیاورد، او را ترک خواهد کرد؛ بنابراین هر کاری می‌ کرد که فرزندش پسر شود و این پیشنهاد یکی از همسایه هایشان بود.

او همچنین اظهار داشت که شنیده است در محله شان خانمی این کار را انجام داده و بعد از سونوگرافی، متوجه شده که فرزندش پسر است، به همین دلیل او هم دست به این اقدام خطرناک زده است.

این زن به طرز هولناکی، فرو کردن میخ آهنی داخل جمجمه را خودش با چکش انجام داده و دچار زخم و خونریزی شدید شد بنابراین نتوانست کارش را به پایان رسانده و با وخیم شدن وضعیتش، به همین شکل به بیمارستان مراجعه کرد. میخ فرورفته داخل جمجمه این زن، با تلاش یک تیم پزشکی خارج شد و او در حال حاضر در وضعیت بهتری قرار دارد.

انتشار این خبر در فضای مجازی واکنش های بسیاری را بدنبال داشت و موضوع توجه بیش از حد به خرافات را از یک سو و انتظار نابجای مردان برای پسر شدن فرزندشان را از سوی دیگر مورد بحث قرار داد

ت ت
کدخبر: 73794 تاریخ انتشار
ارسال نظر

پربیننده‌ترین
  • سپاه پاسداران انقلاب اسلامی در پی شهادت سردار نایینی در پیامی اعلام کرد: عهد می بندیم راه باصلابت و پر امید آنان در…