مد عجیب و غریبی که جدیدا راه افتاده/ عکس‌های زننده تاتو روی دندان

تاتو روی دندان به نام تاتوس یکی از بدترین تاتوها شناخته شده است و افرادی که این خالکوبی را انجام داده‌اند از درد بسیار زیاد آن گفتند.

مد عجیب و غریبی که جدیدا راه افتاده/ عکس‌های زننده تاتو روی دندان
پیشنهاد ویژه
به گزارش منیبان، در سال های گذشته افرادی بودند که از تاتو کردن پوست بدنشان لذت بسیار زیادی می بردند و همیشه به نحوی علاقمند به نشان دادن آن به اطرافیانشان بودند. برخی از قسمت های روتین و معمولی که توسط این افراد تاتو می شوند عبارتند از؛دست،پا،قفسه سین،گردن،کمر و... . اما با این وجود تا به حال چیزی در مورد تاتو روی دندان چیزی شنیده اید؟! تاتو بر روی دندان ها یکی از کارهای احمقانه ای است که اخیرا در برخی از کشورها در حال انجام است.جزئیات بیشتر را در ادامه این مطلب  خواهیم گفت.
 

همان گونه که گفته شد،شاید تا به حال شما تصاویری زیادی از طرح های تاتو بر روی بدن مشاهده کرده باشید،اما شاید تا به حال چیزی در مورد تاتو بر روی دندان نشنیده باشید.

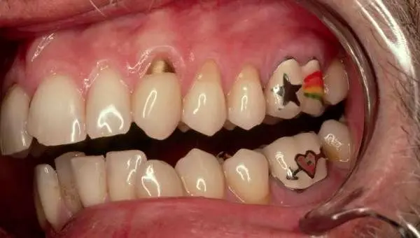
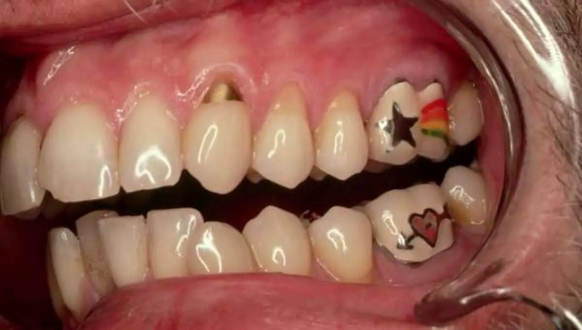
خالکوبی دندان که به نام تاتوس شناخته می شود یکی از بدترین و احمقانه ترین تاتوهایی است که تاکنون از آن رونمایی شده است.در این طرح تاتو با استفاده از دستگاه های خالکوبی،بر روی دندان ها سفید ومرواریدی شما طرح های جالبی را خالکوبی می نمایند که قیمت آنها بین 75 تا 200 دلار است.

به گفته افرادی که این تاتوهای بد را بر روی دندان های خود اعمال کرده اند،درد بسیار زیادی را باید در هنگام اعمال تاتوها تحمل کرد.

شاید شما نیز همانند ما تصور کنید که این نوع تاتو برای مدتی است که از آن رونمایی شده است،اما جالب است بدانید که این ایده حدودا در 20 سال گذشته مطرح و انجام شد.

تاتو بر روی دندان اغلب بر روی دندان های مصنوعی صورت می گیرد که در این شیوه ، ابتدا طرح را بر روی دندان پیاده سازی می کنند و سپس آنرا در دمای 212 درجه فارنهایت قرار می دهند تا به دندان چسبانده شود.

 

خالکوبی روی دندان

 

خالکوبی های عجیب و غریب

 

تتو دندان

 

طرح زیبای تاتو دندان

 

قیمت تاتو روی دندان

 

بدترین تاتو

 

تاتو روی دندان

 

تاتو عجیب و غریب روی دندان

 

خالکوبی دندان به نام تاتوس

 

درد تاتو روی دندان


ت ت
کدخبر: 237769 تاریخ انتشار
در رسانه های دیگر بخوانید
ارسال نظر

پربیننده‌ترین