منیبان
  • صفحه اصلی
  •  سیاسی
  •  اقتصادی
  • اجتماعی
  • ورزشی
  • فرهنگ و هنر
  • رسانه های دیگر
  • عکس
  • فیلم
  •  بین الملل
  •  منیبان زندگی
    •  گردشگری
    •  دکوراسیون
    •  دینداری
    •  خانه داری
    •  عجایب
    •  حقوقی
    •  روانشناسی
    •  مد و زیبایی
    •  کودک
    •  تغذیه و آشپزی
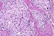
  • درمان سرطان مثانه با داروی سرماخوردگی

    درمان سرطان مثانه با داروی سرماخوردگی

    بررسی‌ها نشان می‌دهد داروی مورد استفاده برای درمان سرماخوردگی معمولی می‌تواند از گسترش تومور سرطان مثانه جلوگیری کند.

    ۲۴ بهمن ۱۳۹۹
منیبان
  •  سیاسی
  •  اقتصادی
  •  فرهنگی
  •  هنری
  • درباره ما
  • تبلیغات
  • تماس با ما

نقل و نشر مطالب با ذکر منبع بلامانع است.

طراحی سایت خبری و خبرگزاری آسام