پارگی گلوی مرد بیچاره بخاطر عطسه اشتباه!+عکس
اشتباه مرد 43 سال هنگام عطسه برایش گران تمام شد ، لحظاتی بعد دردهای شدید و حالت غیرقابل تحمل در بلع او را راهی بیمارستان کرد.

به گزارش منیبان؛ هشداری که بارها و بارها پزشکان در مورد خطرات مانع شدن از عطسه کردن عنوان کرده اند بی دلیل نبوده و عوارض آن می تواند فرد را به جراحی بکشاند درست مثل مردی که بعد از این اشتباه دچار مشکل شد و پارگی گلو عطسه صحیح را برای همیشه در ذهن او تبدیل به یک مسئله مهم کرد.
پزشکان در لستر انگلستان مجبور به شکافتن گلوی مرد 34 ساله ای شدند که عطسه ای با قدرت زیاد را در گلوی خود حبس کرده و مانع از آزاد شدن آن شود ؛ فشار زیاد برای خارج شدن عطسه و از طرفی نبود راهی برای خروج منجر به پاره شدن گلوی مرد شده بود.
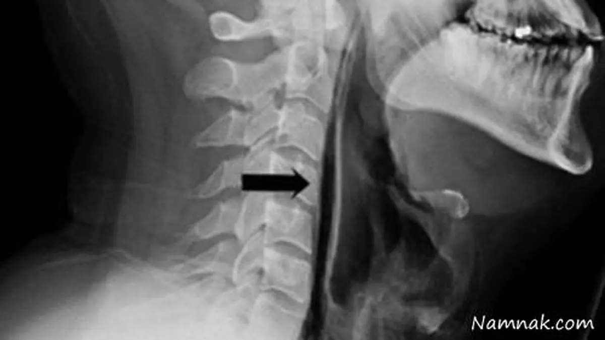
این مرد می گوید بعد از عطسه کردن به این شکل نادرست احساس کرده چیزی در گلویش "ترکیده" و بلافاصله دچار درد شدید و دشواری در تکلم و حتی قورت دادن آب دهانش شده برای همین برای معاینه و درمان به بیمارستان مراجعه کرده است. زمانیکه پزشکان او را معاینه کردند متوجه تورم شدید و درد در ناحیه گردن و گلوی او شدند ، تصویری برداری با اشعه ایکس نشان داد در اثر پارگی ایجاد شده هوا از نای این فرد وارد بافت گلو می شود و علت درد و مشکل در بلع نیز همین بوده است.
بیمار مجبور شد هفت روز از طریق لوله تغذیه کند تا بافت آسیب دیده در این مدت ترمیم شود. پارگی گلوی بیمار پس از یک هفته بستری شدن در بیمارستان، بهبود پیدا کرد.
پزشکان هشدار می دار می دهند که عطسه کردن با بینی و دهان بسته شدن می توانند باعث آسیب جدی فیزیکی شوند.آنها می گویند که همه باید از چنین خطری مطلع باشند درحالیکه این اتفاق بندرت ممکن است پیش آید اما فشار شدید عطسه زمانی که راهی برای خروج نداشته باشد به بافت نرم گلو صدمه میزند. بر اساس گزارشی که در نشریه پزشکی بریتانیا (BMJ) منتشر شده، حبس کردن عطسه همچنین ممکن است به گوش ها صدمه بزند یا حتی در برخی موارد باعث آنوریسم مغز شود.