بی خبری از وجود سوزن خیاطی داخل پای این پیرزن! + عکس
پیرزنی به طور بسیار باورنکردنی و عجیب از رفتن سوزن خیاطی به داخل پای خودش اطلاع نداشت.

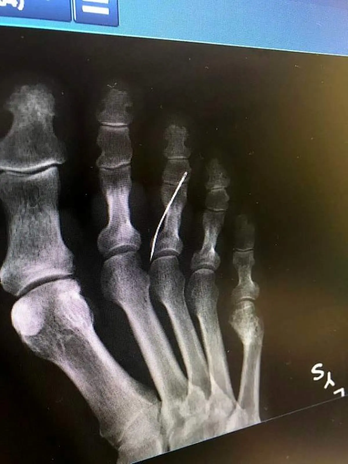
به گزارش منیبان؛ مادربزرگی که نامش منتشر نشده است هنگام عبور از اشعه ایکس متوجه واقعیتی شد که باور کردنی نبود او سوزن خیاطی در پایش داشت که هیچ توجیهی برای آن نداشت .
زنی که نامش ذکر نشده است، به دلیل مرض دیابت حس را در پایش از دست داده است و از وجود سوزنی که در پایش بوده هیچ اطلاعی نداشته. نوه ی او که اهل کالیفرنیا بود تصاویر او را به اشتراک گذاشت کاربران زیادی نظرات متفاوتی داشتند اما او وقتی به پزشک مراجعه کرد سریع او را به طور اورژانسی عمل کرده و سوزن را بیرون آوردن عفونت پای او به حدی بود که باید در بیمارستان می ماند و حالا هیچ معلوم نیست چقدر طول بکشد تا پوستش التیام پیدا کند.
نوه اش بیان می کند مادربزرگش دوره نقاهت را در بیمارستان طی می کند همچنین کاربران برای مادربزرگ آرزوی بهبود کرده اند ؛ ناخوشی عصبی یا آسیب عصب، یکی از پیچیدگی های رایج ابتلا به دیابت کنترل نشده است.
علت دقیق مشخص نیست اما فرض بر این است ، این مشکل زمانی اتفاق می افتد که سطح قند خون بالا به فیبر عصبی و رگ های خونی که اکسیژن و مواد غذایی را تامین می کنند آسیب می رساند. علائم این بیماری می تواند شامل درد و بی حسی باشد، اما خطر اصلی این است که بیماران ممکن است جراحات سطحی نداشته باشند و دچار آلودگی و عفونت شوند. این زخم ها می توانند به سختی التیام یابند زیرا دیابت جریان خون را کاهش می دهد و در نتیجه بازسازی سلول هارا کاهش می دهد.
عفونت می تواند شیوع یابد و باعث مرگ بافت یا قانقاریا شود. تخمین زده می شود که هر هفته 100 نفر پای خود را به دلیل دیابت از دست می دهند. دیابت سریع ترین بحران سلامت در کشور است و تعداد افرادی که مبتلا به این بیماری هستند از 1.9 میلیون تا 3.7 میلیون است. در ایالات متحده، 30 / 3 میلیون آمریکایی، یا 9.4 درصد از جمعیت، در سال 2015 به دیابت مبتلا شدند.مشکل عمدتا ناشی از چاقی است و 90 درصد بیماران ازدیابت نوع 2 که به سبک زندگی و رژیم غذایی مرتبط است رنج می برند.
افراد مبتلا به دیابت باید خیلی از خود مراقبت داشته باشند، زیرا جراحات آن ها به طور طبیعی التیام نمی یابد. قند خون بالا می تواند موجب آسیب عصبی شود به این معنی است بیماران نمی توانند پوست خود را به خوبی حس کنند و ممکن نیست بدانند چه زمانی زخم دارند و یا احساس کنند چقدر جدی است. دیابت جریان خون را در پاها محدود و روند بهبود را کند می کنند چون اکسیژن و مواد غذایی کم است. ترکیب این دو عامل به این معنی است که می تواند بیشتر طول بکشد تا افراد دچار جراحت شوند و التیام پیدا کنند به این معنی است که شانس بیشتری برای آلوده شدن و یا مردن بر اثر قانقاریا وجود دارد که اگر جراحت بیش از حد آلوده باشد قسمت های آسیب دیده بدن باید قطع شود.